
ΟΔΟΝΤΙΚΗ ΧΕΙΡΟΥΡΓΙΚΗ
Οι υπηρεσίες μας
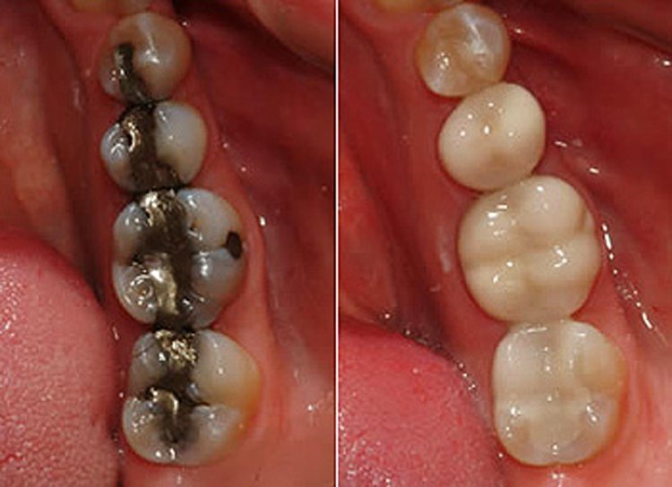
Αντικατάσταση μαύρων σφραγισμάτων με λευκά από σύνθετη ρητίνη
Τα μαύρα σφραγίσματα καταργήθηκαν γιατί ουσιαστικά είναι τοξικά. Επίσης, έχει αποδειχθεί ότι ο ομαλός λειχήνας παρουσία πολλών εμφράξεων αμαλγάματος επιδεινώνεται και αρκετές φορές είναι αυτά τα σφραγίσματα που ευθύνονται για την εμφάνισή του.
Τα πλεονεκτήματα ενός λευκού σφραγίσματος
Καλύτερο αισθητικό αποτέλεσμα δοντιών.Μεγαλύτερη συγκόλληση του υλικού με το δόντι και αφαίρεση λιγότερης οδοντικής ουσίας κατά την τοποθέτηση του,Η “επισκευή” του είναι πιο εύκολη σε περίπτωση που κάποιο κομμάτι του αποκολληθεί. Πλήρης αποφυγή του υδραργύρου που περιείχαν τα παλιά αμαλγάματα.Είναι τα λευκά σφραγίσματα το ίδιο ανθεκτικά όσο τα μαύρα;
Παλαιότερα υπήρχε μια καχυποψία απέναντι στα λευκά σφραγίσματα πλέον όμως έχουν εξελιχθεί πάρα πολύ και είναι πολύ ανθεκτικά.